-
2022年11月14日重庆市新冠肺炎疫情情况
2022-11-14 12:44
-
健康中国重庆行动 | 健康科普 | 防疫要奏效,保持手卫生很重要
2022-11-13 13:38
-
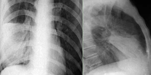
健康中国重庆行动 | 健康中国巴渝行·好医声科普丨养肺护肺 远离肺炎
2022-11-13 13:37
-
健康中国重庆行动 | 防疫科普 | 疫情期间机场保洁人员如何做好个人防护?
2022-11-13 13:35
-
健康中国重庆行动 | 关注 | 疫情防控期,重庆孕产妇就诊建议来了(附应急助产机构名单)
2022-11-13 13:34
-
2022年11月13日重庆市新冠肺炎疫情情况
2022-11-13 13:31
-
健康中国重庆行动 | 健康科普 | 疫情期间,上好网课、保护视力“两不误”
2022-11-12 12:50
-
健康中国重庆行动 | 健康中国巴渝行·好医声科普 | 趁“冷”打劫 警惕肺炎突袭
2022-11-12 12:48
-
健康中国重庆行动 | 关注 | 2022年重庆市第七届“青年爱不艾”高校社团参与艾滋病防治宣教活动项目评审入围名单公示
2022-11-12 12:46
-
健康中国重庆行动 | 防疫科普 | 疫情期间志愿者如何做好个人防护?
2022-11-12 12:39

公安备案号 50011202501662